Відділення променевої діагностики
Дослідження проводяться за направленнями лікарів НДСЛ Охматдит для пацієнтів, що знаходяться на стаціонарному лікуванні.
Контакти
Телефон відділення:
044-239-88-91 (8:00 – 17:00)
Розташування:
м. Київ, вул. Чорновола, 28/1,
НДСЛ «Охматдит», новий корпус, 0 та -1 поверх, Блок Б, В.
Графік роботи:
Комп’ютерна томографія, рентгенографія – планові дослідження
Пн.-Пт. 8:00 – 17:00
Надання екстреної/невідкладної медичної допомоги
(при поступленні пацієнта через відділення невідкладної допомоги)
цілодобово (24/7)
Магнітно-резонансна томографія
Пн.-Пт. 8:00 – 18:00
Денситометрія*
пн-пт з 14:00 до 16:30
* у зв’язку з ремонтними роботами в корпусі, графік може змінюватись
Які методи діагностики ми проводимо?
- Рентген, КТ та МРТ: це сучасні методи медичної візуалізації, які допомагають лікарям “зазирнути” всередину вашого тіла.
- Рентген, рентгеноскопія: Створює двовимірне зображення кісток. Швидкий та простий метод, але показує не всі деталі.
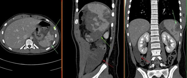
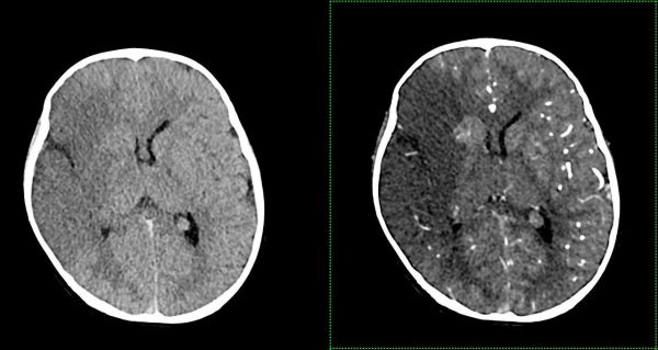
- КТ: створює детальні зображення кісток та м’яких тканин у вигляді “зрізів”. Дозволяє виявити навіть найменші зміни.
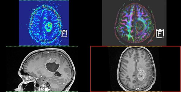
- МРТ: Створює найчіткіші зображення м’яких тканин, органів та судин. Без використання шкідливого випромінювання, тому також підходить для візуалізації вагітних, дослідженні плоду.
- Денситометрія: застосовується для виявлення змін мінеральної щільності кісток.
У нас є можливість проведення досліджень високої роздільної здатності всіх органів та систем (за винятком серця), зокрема в складі синдромів/комбінованих вадах. Обстеження виконуються, як для дітей так і дорослих пацієнтів, в т.ч. з анестезіологічним забезпеченням (седація, наркоз).
Перевагою нашого відділення є мультидисциплінарний підхід та індивідуальний підхід та вибір протоколу сканування пацієнта.
Завдяки передовим технологіям ми маємо можливість проводити МРТ дослідження “всього тіла” (whole body)*, мультипараметричні обстеження головного мозку та простати з наявними програмами МР-трактографії (DTI), МР-спектроскопії, також виконуємо безконтрастну МР-ангіографію інтракраніальних судин, шиї; МР-холангіопанкреатографію, ентерографію, визначення перенавантаження залізом печінки.
Денситометрія всього тіла і тілобудови, поперекового відділу хребта в прямій проекції, проксимальної частини стегнової кістки, рентгенморфометрія
*“всього тіла” (whole body) як онкоскринінг чи група overgrowth syndrome.
Основні покази щодо скерування пацієнтів
Рентген, рентгеноскопія: Швидкий та доступний для виявлення переломів, вивихів та інших проблем з кістками.
Комп’ютерна томографія: Надає детальні зображення внутрішніх органів та тканин, допомагає виявити пухлини, запалення та травми.
Магнітно-резонансна томографія: Найточніший метод для дослідження мозку, хребта, суглобів та м’яких тканин. Абсолютно безпечний тому також підходить для візуалізації вагітних, дослідженні плоду. Разом КТ та МРТ показані для виявлення вроджених аномалій розвитку/патології центральної нервової, скелетно-м’язової, травної, дихальної, сечовидільної системи, статевої сфери Також показані пацієнтам та потенційним донорам при підготовці до трансплантації,
Денситометрія: хвороби, що супроводжуються змінами мінеральної щільності кісток: остеопороз, остеопороз; ендокринні, гастроентерологічні порушення; орфанні захворювання (спінальна м’язова атрофія, м’язова атрофія Дюшена і т. д.); тривала іммобілізація, прийом хіміопрепаратів, глюкокортикостероїдів, препаратів кальцію, біфосфонатів тощо.
Чому обирають саме нас?
- Великий досвід лікування складних клінічних випадків
- Працюємо з дітьми будь-якого віку та розміру
- Проводимо обстеження плоду (вагітним)
- Сучасне обладнання та індивідуальний підхід до діагностики
- Комп’ютерна томографія: Siemens SOMATOM X.cite (128 зрізів, мах. 364 реконструйовані зрізи)
- Магнітно-резонансна томографія: Siemens MAGNETOM Aera (1,5 Тл)
- Денситометрія: OsOsteoSys PRIMUS
- Тісна взаємодія суміжними спеціалістами, мультидисциплінарна команда
- Постійний розвиток команди у вигляді відвідувань наукових заходів, стажувань.
- Підтримка та розбір кейсів із спеціалістами дитячих клінік світого рівня.
При поступленні пацієнта на госпіталізацію відбувається перегляд архіву вже наявних досліджень рентген, КТ, МРТ.
Як потрапити до нас
(що потрібно для госпіталізації)
- Направлення від лікаря вузької спеціальності (у відповідності до зони сканування)
- Госпіталізація за ПМГ / або на платній основі
- Контакти для запису: 044 239 88 91, +38 063 872 73 77 (Viber)
- Перелік документів:
- виписки про захворювання стан пацієнта,
- за наявності металевих конструкцій чи медичних пристроїв/ імплантів в тілі пацієнта перед дослідженням МРТ варто надати паспорт конструкцій/імплантів або довідку від лікаря, що їх встановлював про сумісність та безпечність для проведення МРТ потужністю магнітного поля 1,5 Т
- Перелік обстежень: для проведення досліджень під наркозом (див. пам’ятку нижче)
УВАГА!
при порушенні даних правил Ви наражаєте свою дитину
на небезпечні для життя стани під час проведення наркозу!
Якщо вашій дитині планується дослідження під медикаментозною седацією, зверніть увагу на наступні вимоги:
- Дитина повинна бути здоровою (без кашлю, нежитю, підвищеної температури тіла).
- Дитина повинна отримати їжу з дотриманням часових інтервалів:
- молочні продукти, тверда їжа, пюре — не менш ніж за 6 годин до дослідження;
- грудне молоко — не менш ніж за 4 години;
- вода, чай, компот — не менш ніж за 2 години.
- Необхідно мати при собі результати аналізів:
- загальний аналіз крові;
- рівень глюкози та електролітів крові;
- рівень креатиніну — якщо передбачається дослідження із введенням контрастної речовини.
(Рекомендовано виконати аналізи не пізніше ніж за 1 тиждень до запланованого дослідження.)
Також необхідна довідка від педіатра про стан здоров’я дитини з описом наявних супутніх захворювань, які можуть становити потенційний ризик під час проведення седації або наркозу.
- Дитина повинна прибути вже із встановленим внутрішньовенним катетером для введення препаратів наркозу або контрастної речовини.
- Остаточне рішення про можливість проведення наркозу чи седації приймає лікар-анестезіолог безпосередньо перед процедурою.
Наша команда
У відділенні працюють висококваліфіковані лікарі рентгенологи та рентгено-лаборанти, що постійно вдосконалюють свої знання шляхом відвідування конференцій, курсів та стажувань.
Наші лікарі-рентгенологи:
- Ружило Катерина Олександрівна
- Пашнюк Анастасія Григорівна
- Зябловська Наталія Володимирівна
- Сотнікова Світлана Володимирівна
- Бур’ян Олексій Васильович
- Кириленко Микола лікар-рентгенолог
- Мулик Станіслав Володимирович
- Дідора Андрій Миколайович
- Слободян Сергій Володимирович
- Замашна Вікторія Василівна
- Вороненкова Марина Владиславівна
РЕНТГЕНОГРАФІЯ
МРТ-система: Siemens MAGNETOM Aera (1,5 Тesla)
КТ-система: Siemens Somatom X.cite (128 (зрізів сканування) Макс. 364 (реконструйованих зрізи))






















